Medición exacta de tu visión con con pantallas computarizadas y a control remoto.
Obtención de tu graduación con Autorrefracto - queratómetro computarizado y comprobado con Retinoscopía y subjetivas
Valoración de musculos intra y extra oculares.
Evaluación de la visión a los colores
Evaluación de retina Periférica y central
Valoración de fondo de ojo
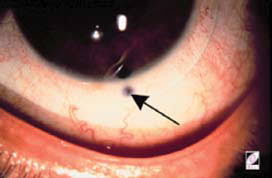
Valoración con lampara de hendidura el estado de salud del ojo : infecciones, inflamaciones, alergias, carnocidades etc...
Valoración de ojo especial relacionado a enfermedades sistémicas.
El Dr. Lomeli es nuestro Oftalmólogo especialista experto en la valoración, detección y tratamiento de Patologías Oculares...
Examina el estado de salud de tu ojo, su anatomía, musculatura, sistema lagrimal, parpados, fondo de ojo y funcionamiento del ojo en general.
Sus enfermedades, tratamientos y cirugías.
El te informara el estado actual de salud de tus ojos, los procedimientos a seguir y te llevarán de la mano en todo tu tratamiento.
Enfermedades :
Retinopatía diabética o hipertensiva - Cataratas - Degeneración Macular relacionada a la edad - Pterigión - Desprendimiento de retina - Edema macular - etc...
Procedimientos:
Tratamiento con inyección intra vítrea - Laser Argon - Laser Yag - Reacomodo de puntos - Pupiloplastía
Cirugía:
Cirugía Laser - Cirugía de Parpados - Cirugía de Cataratas - Implante lente intraocular - Trabeculectomía - Vitrectomía - Blefaropastía - Chalazión - Pterigión - Estrabismo - Fotocoagulación con Laser - Vías lagrimales - etc ...
Estudios Diagnosticos:
Cálculo de LIO - Campimetría Computarizada - Fluorangiografía Retina - IOL - Paquimetría - OCT - Ultrasonido
Dr. Daniel Lomeli Linares
Egresado de la UNAM
Especialidad en Oftalmología en el Hospital Nuestra Señora de la Luz
Especialidad en Orbita, Párpados y Vías Lagrimales
Miembro Activo de:
Sociedad Mexicana de Oftalmología
Consejo Mexicano de Oftalmología
Sociedad Mexicana de Orbita, Párpado y Vía Lagrimal
Sociedad Panamericana de Oftalmología
Sociedad Iberoamericana de Oculoplastica
American Academy of Ophthalmology
Internacinal Council of Ophthalmology
Profesor de pregrado, grado y post grado en la UNAM y ANAHUAC
Participación como profesor en diferentes congresos nacinales e internacionales.
Si nunca has usado lente de contacto... después de tener tu graduación exacta, hay que ....
Se valora:
La salud de tu tejido ocular y las estructuras tales como... parpados, córnea, curvatura de la cornea, apertura de parpados, lagrimeo, parpadeo etc...
La calidad y cantidad de tu lagrima para elegir el lente de contacto adecuado, es decir, marca, tipo , material, manejo y modalidad de lente de contacto es ideal para tus ojos.
Se hace un ultimo filtro de acuerdo a las actividades diarias del paciente para no dañar el mismo , sea cómodo, práctico y conveniente.
OJO: El mandarte cualquier tipo de lente podría poner en riesgo la salud de tus ojos, ocasionarte muchas molestias oculares...ojo rojo, ardor, comezón, lagrimeo excesivo o
lo contrario, resequedad ocular, intolerancia al lente y dejar secuelas importantes.
Después de recetarte tu lente adecuado, se te explicará la modalidad de uso, las horas y días a usar en la semana, los cuidados, la limpieza, el mantenimiento, la duración del lente , el retiro o descanso necesario y las fechas de seguimiento y valoración del lente y del tejido ocular.
Requieres traer tiempo para esta valoración. AGENDA TU CITA
INDICACIONES:
Si ya eres usuario de lente de contacto y quieres renovar tu graduación, se te pide que tengas por lo menos 24 horas DESPIERTO sin en lente de contacto
puesto, ejemplo: quitarlo un jueves por la tarde, todo el viernes no usarlo y venir a consulta el día sábado. Este tiempo es para que tu ojo restablezca su
oxigenación y forma natural y la graduación sea mas que exacta.
Esta Valoración es muy importante, debe ser por lo manos anual y su importancia radica en que es preventiva, ya que interviene
INDICACIONES:

Tu pequeño jamás te va a decir que ve mal, Él no sabe lo que es ver mal hasta que lo pueda comparar en un examen y con unos lentes. El te dirá siempre que ve bien, y por eso Tú como padre/madre debes llevarlo a un estudio visual por lo menos una vez al año y observar como se comporta, sus molestias , etc...
En un Examen Pediátrico optométrico debe valorarse muchos aspectos aparte de la graduación:
Existen test y pruebas para evaluar y calificar el Habla, postura (parado, sentado, al leer...),coordinación , reflejos, escucha, visión, graduación, calidad de lectura (velocidad, facilidad), escritura (posición de manos y dedos, cuerpo, dirección) etc, etc, etc.
Se valora el desarrollo y función de cada estructura ocular, por lo que puede llevarse una o dos sesiones dicha valoración. (Depende de la cooperación del niño).
De preferencia pedimos a los padres no pasen al consultorio para que el pequeño no se presione en las pruebas y respuestas que de, sin embargo los padres todo
el tiempo ven a sus hijos a través de los cristales del consultorio.
Se pide traigan un refrigerio o agua para los pequeños rescesos en los que el niño descanse. (los descansos son de 5 minutos).
Al final de la valoración se explicará a la madre o padres los resultados y las necesidades del niño... lentes, terapia (visual, motriz, lenguaje...), tratamiento ocular, quirurgico, medicamentoso, etc...

Estamos para atenderte:
Sucursal Candiles .- Tel. 01 442 222 9643 SUCURSAL PEDRO ESCOBEDO: AV. Panamericanan No.83 ote Col. Centro ( estamos frente a Carniceria el Torito y antes de Panaderia SAEVA)
Horarios : Lunes a viernes de 10:30 am a 7 pm, Sábados de 10:30 am a 3 pm, cerrado los domingos. Días festivos llamar antes.
SUCURSAL CANDILES : Av. Camino Real No. 605 Ind D, Mision Candiles (estamos a un lado de Farmacias Benavides Candiles).
Horarios De lunes a viernes de 11 am a 8:30 pm, Sábados de 11 am a 5 pm y domingos atención solo previa cita. Días festivos llamar antes.
